
Probióticos podrían desempeñar papel clave en prevención de Alzheimer
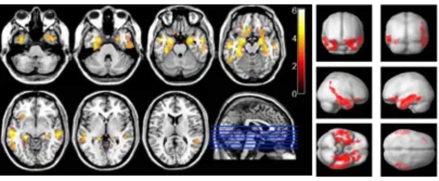
Los probióticos parecen ayudar a restaurar este equilibrio y mejorar la función cognitiva, según una investigación

Los probióticos parecen ayudar a restaurar este equilibrio y mejorar la función cognitiva, según una investigación